La spalla del battitore è una forma di instabilità posteriore della spalla, definita come patologia capsulo-labrale posteriore isolata, secondaria alle forze che agiscono sulla spalla anteriore del battitore di baseball. Gli infortuni alla spalla negli sport, incluso il baseball, sono comuni. Nel baseball, la maggior parte degli infortuni alla spalla è correlata al lancio, mentre un numero minore si verifica a causa della battuta, anche nei giocatori di posizione (non lanciatori). 2 Gli infortuni sportivi causano più comunemente instabilità anteriore piuttosto che posteriore, con l'instabilità posteriore che rappresenta il 2-12% degli infortuni da instabilità alla spalla. 3
Lo swing del baseball è un insieme complesso di movimenti del corpo che trasferiscono una grande quantità di energia dagli arti inferiori, attraverso il tronco e gli arti superiori, fino alla mazza. Le quattro fasi dello swing del baseball sono il caricamento, il pre-swing, lo swing e il follow-through. Durante la fase di follow-through della battuta, la spalla anteriore subisce una forza diretta posteriormente dall'omero contro le strutture capsulo-labrali posteriori a causa della posizione estremamente flessa in avanti, addotta e ruotata internamente della spalla.

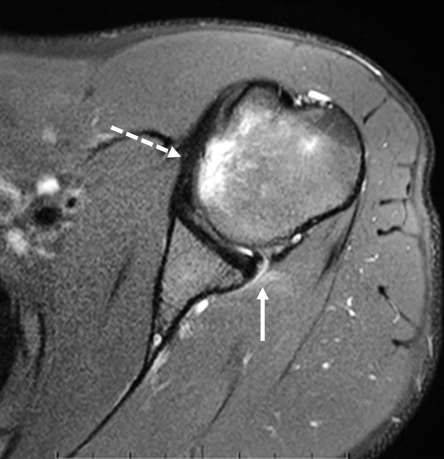
Le immagini assiali (2A e 2B) mostrano i riscontri di una lesione da instabilità gleno-omerale posteriore, tra cui lacerazione capsulo-labrale posteriore-posteroinferiore ed edema pericapsulare (frecce continue) e una lesione da impatto della testa omerale anteromediale (frecce tratteggiate).
Presentazione clinica
La spalla del battitore si verifica comunemente come un singolo evento acuto in cui il battitore avverte una sensazione di instabilità e un forte dolore posteriore nella spalla anteriore/avanzata durante uno swing. Il dolore è più intenso durante la fase di follow-through dello swing, in particolare quando si esegue uno swing e si manca la palla e/o quando si cerca di colpire lanci esterni. Un'ipotesi è che, in caso di swing con la mazza che manca la palla, la mancanza di controforza solitamente creata dalla mazza che colpisce la palla si traduca in un aumento dell'angolo di adduzione della spalla, che a sua volta aumenta le forze di taglio attraverso la spalla posteriore, danneggiando le strutture capsulo-labrali posteriori.
Con un'anamnesi clinica completa, i giocatori indicheranno comunemente uno specifico swing che ha causato dolore acuto o saranno in grado di affermare che uno specifico tipo di swing provoca dolore. I risultati dell'esame obiettivo includono un test di carico e spostamento posteriore positivo che dimostra lassità con una forza applicata, test di Kim e di scossa della spalla positivi e, a volte, un test di O'Brien positivo. È comune anche la dolorabilità dell'articolazione posteriore.
Risultati dell'imaging
Le radiografie sono generalmente normali, ma dovrebbero essere utilizzate come valutazione iniziale. Reperti occasionalmente visibili includono una frattura da impatto anteromediale della testa omerale (lesione di Hill-Sachs inversa), una frattura da avulsione posteriore della glenoide e displasia e/o retroversione glenoidea.
La risonanza magnetica e l'artrografia con risonanza magnetica sono i migliori esami di imaging per valutare le strutture gleno-omerali posteriori. I reperti della spalla del battitore includono una lesione del labbro glenoideo posteriore senza distacco del labbro (lesione di Kim), una lesione del labbro glenoideo posteriore con distacco del labbro, una lesione intrasostanza del labbro glenoideo posteriore, una lesione capsulare posteriore, una lesione di Hill-Sachs inversa della testa omerale anteromediale, ipoplasia/displasia glenoidea e lesioni condrali associate (Figure 3-5).
In genere non si eseguono scansioni TC, ma possono essere utili per valutare ulteriormente i risultati della frattura di Hill-Sachs invertita della testa omerale anteromediale, della frattura glenoidea e dell'ipoplasia/retroversione glenoidea.

Figura 3: giocatrice di softball universitaria di 18 anni con grave lesione alla spalla sinistra durante la battuta. (3A e 3B) Le immagini assiali pesate in densità protonica con soppressione del grasso mostrano una lesione labrale posteroinferiore intra-sostanza non dislocata (frecce continue) e una frattura da impatto della testa omerale anteromediale con lieve edema midollare sottostante (frecce tratteggiate).

Figura 4: Artrogramma RM in un giocatore di baseball di 17 anni delle superiori con lesione acuta da battuta alla spalla sinistra. (4A) Un'immagine coronale obliqua pesata in T2 con soppressione del grasso rivela un lembo labrale posteroinferiore dislocato (freccia). (4B) Un'immagine assiale pesata in T2 con soppressione del grasso attraverso l'articolazione inferiore conferma il lembo labrale dislocato (freccia continua) e mostra una lieve lesione da impatto della testa omerale anteromediale (freccia tratteggiata). (4C) Un'immagine assiale più cranialmente mostra una lacerazione del labbro posteroinferiore mal definita (punta di freccia) ed edema midollare nella testa omerale anteromediale dovuto alla lesione da impatto (freccia tratteggiata).

giocatore di basket universitario di 20 anni infortunato durante una partita della March Madness. (fig a sinistra).
Le immagini assiali pesate in T2 con soppressione del grasso mostrano edema pericapsulare posteriore (freccia), frattura condrale glenoidea posteriore (punta di freccia) ed edema pericapsulare posteroinferiore e lacerazione del labbro (freccia, fig a destra).
Gestione
Il trattamento iniziale per la spalla del battitore è di tipo conservativo e include il riposo da attività che causano problemi come la battuta, in combinazione con la fisioterapia. Inoltre, è opportuno evitare attività di tipo press in cui la spalla viene posta in posizione di adduzione, flessione e rotazione interna, come la distensione su panca piana.
Dopo il decorso non operatorio iniziale, il trattamento chirurgico è indicato nelle seguenti circostanze: incapacità di tornare a giocare al livello pre-infortunio; mancata risposta al trattamento conservativo, inclusa la sospensione del gioco e la fisioterapia; evidenza di instabilità posteriore all'esame obiettivo; e evidenza di patologia capsulo-labrale posteriore all'imaging. Le controindicazioni all'intervento chirurgico includono instabilità multidirezionale, sublussazione abituale o volontaria o anomalie ossee.
a cura del Dott. Sergio De Bac
Commenti